د. هنو من مشفى صفد ينقذ حياة طفل بلع مشبك شعر - صور
2020-05-27 18:40:41 - اخر تحديث: 27-05-2020 19:39:18
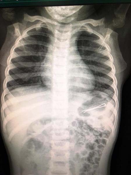
علم مراسل موقع بانيت وصحيفة بانوراما من مصادر طبيّة في مستشفى زيف في صفد أن الطواقم الطبية نجحت هذا الأسبوع بإنقاذ حياة طفل ( 3 سنوات ) بعد أن أُحضر الى

تصوير مكتب الناطق بلسان مستشفى زيف في صفد
المستشفى وفي بطنه مشبك شعر بطول 6 سنتمترات .
وعانى الطفل من صعوبة في التنفس ، مما شكل خطرا على حياته الى أن قام الطبيب بيان هنو، الطبيب المختص في طب الأطفال الباطني باجراء عملية للطفل ونجح بإخراج المشبك دون أن يتسبّب بأي ضرر جانبي .
هذا وشعر الطفل بتحسّن كبير بعد انتهاء العملية وتم تسريحه الى البيت .


استعمال المضامين بموجب بند 27 أ لقانون الحقوق الأدبية لسنة 2007، يرجى ارسال ملاحظات لـ panet@panet.co.il
- احذروا : عقرب يلدغ طفلة في النقب واصابتها متوسطة
- وفد رجال الاطفاء يعود من اليونان بعد مشاركته باطفاء الحرائق هناك
- اعتقال راكب انقض على سائق حافلة من منطقة القدس ويضربه لانه طلب منه وضع الكمامة
- سباق البقيعة : احتفال رياضي ليلي كبير في البقيعة
- اعتقال مشتبه من مدينة يافا باطلاق نار واصابة شقيقه
- جمعية بصائر الخير في أم الفحم تختتم مخيماتها الصيفية
- بالفيديو: النائب منصور عباس يتوجه يدعو المجتمع العربي للتطعيم
- بينيت يوعز لصناديق المرضى بمواصلة حملة التطعيم
- الاستعانة بمروحيات اطفاء لاخماد حريق في أحد جبال الجلبوع
- اصابة شابة بحادث طرق في مدينة قيسارية


"


























